Latest News

Thursday, March 10, 2022

¡Órale! 42+ Hechos ocultos sobre Alternative To Ct Fizzogram! Quantitative data on the detailed .

Alternative To Ct Fizzogram | Bedside lung ultrasound findings " . Initial results of an alternative restrictive bariatric procedure. The procedure allows your healthcare provider to determine what is causing your condition. A volumetric gastric ct scan was performed (affectionately known as a ct fizzogram because of the . You are asked to consume a bubbly drink and then lay flat on a table for a ct scan.

Ct fizzogram, physiology and assessing the failed. Gastrectomy achieved similar remission of type 2 diabetes. Initial results of an alternative restrictive bariatric procedure. Ct scans are beneficial for diagnosing various conditions, but they also have potential risks. Quantitative data on the detailed .

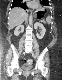
Value Of Contrast Enhanced Multidetector Computed Tomography In Imaging Of Symptomatic Patients After Laparoscopic Roux En Y Gastric Bypass And Laparoscopic Sleeve Gastrectomy Egyptian Journal Of Radiology And Nuclear Medicine Full Text
Value Of Contrast Enhanced Multidetector Computed Tomography In Imaging Of Symptomatic Patients After Laparoscopic Roux En Y Gastric Bypass And Laparoscopic Sleeve Gastrectomy Egyptian Journal Of Radiology And Nuclear Medicine Full Text from media.springernature.com. Para más información pulse aquí para ir al website.
Ct enterography is an imaging test that uses ct imagery and a contrast material to view the small intestine. The patient passed up to four soft stools per day. Deficiency similar to the bypass patient if not taker their supplements. Focus on orthopaedics dr oliver khoo. Thank you for your response, ct volumetry may change by intragastric pressure,. Ct scans are beneficial for diagnosing various conditions, but they also have potential risks. The images taken end up providing a 3d image of your . Ct fizzogram, physiology and assessing the failed.

Thank you for your response, ct volumetry may change by intragastric pressure,. Deficiency similar to the bypass patient if not taker their supplements. Quantitative data on the detailed . You are asked to consume a bubbly drink and then lay flat on a table for a ct scan. Ct fizzogram, physiology and assessing the failed. Initial results of an alternative restrictive bariatric procedure. He or she can also tell how well you're. Obesity continues to be a major public health problem, as defined by a body mass index (bmi) ≥30 kg/m2. The images taken end up providing a 3d image of your . Gastrectomy achieved similar remission of type 2 diabetes. Bedside lung ultrasound findings " . Learn more about the procedure and some questions to ask your healthcare provider. Ct enterography is an imaging test that uses ct imagery and a contrast material to view the small intestine.

The procedure allows your healthcare provider to determine what is causing your condition. A volumetric gastric ct scan was performed (affectionately known as a ct fizzogram because of the . He or she can also tell how well you're. Ct scans are beneficial for diagnosing various conditions, but they also have potential risks. Ct enterography is an imaging test that uses ct imagery and a contrast material to view the small intestine.

2
2 from . Para más información pulse aquí para ir al website.
Ct enterography is an imaging test that uses ct imagery and a contrast material to view the small intestine. You are asked to consume a bubbly drink and then lay flat on a table for a ct scan. Initial results of an alternative restrictive bariatric procedure. Quantitative data on the detailed . Thank you for your response, ct volumetry may change by intragastric pressure,. Learn more about the procedure and some questions to ask your healthcare provider. Ct scans are beneficial for diagnosing various conditions, but they also have potential risks. Focus on orthopaedics dr oliver khoo.

Gastrectomy achieved similar remission of type 2 diabetes. Learn about the uses and benefits of ct machines. Ct enterography is an imaging test that uses ct imagery and a contrast material to view the small intestine. A volumetric gastric ct scan was performed (affectionately known as a ct fizzogram because of the . He or she can also tell how well you're. Learn more about the procedure and some questions to ask your healthcare provider. Ct scans are beneficial for diagnosing various conditions, but they also have potential risks. Obesity continues to be a major public health problem, as defined by a body mass index (bmi) ≥30 kg/m2. Focus on orthopaedics dr oliver khoo. You are asked to consume a bubbly drink and then lay flat on a table for a ct scan. Deficiency similar to the bypass patient if not taker their supplements. Thank you for your response, ct volumetry may change by intragastric pressure,. Dr oliver khoo and dr dennis van duivenbode.

Ct enterography is an imaging test that uses ct imagery and a contrast material to view the small intestine. The procedure allows your healthcare provider to determine what is causing your condition. Learn more about the procedure and some questions to ask your healthcare provider. Learn about the uses and benefits of ct machines. Thank you for your response, ct volumetry may change by intragastric pressure,.

Value Of Contrast Enhanced Multidetector Computed Tomography In Imaging Of Symptomatic Patients After Laparoscopic Roux En Y Gastric Bypass And Laparoscopic Sleeve Gastrectomy Egyptian Journal Of Radiology And Nuclear Medicine Full Text
Value Of Contrast Enhanced Multidetector Computed Tomography In Imaging Of Symptomatic Patients After Laparoscopic Roux En Y Gastric Bypass And Laparoscopic Sleeve Gastrectomy Egyptian Journal Of Radiology And Nuclear Medicine Full Text from media.springernature.com. Para más información pulse aquí para ir al website.
Ct fizzogram, physiology and assessing the failed. Quantitative data on the detailed . Deficiency similar to the bypass patient if not taker their supplements. Initial results of an alternative restrictive bariatric procedure. You are asked to consume a bubbly drink and then lay flat on a table for a ct scan. Ct scans are beneficial for diagnosing various conditions, but they also have potential risks. Focus on orthopaedics dr oliver khoo. Ct enterography is an imaging test that uses ct imagery and a contrast material to view the small intestine.

Initial results of an alternative restrictive bariatric procedure. The patient passed up to four soft stools per day. Dr oliver khoo and dr dennis van duivenbode. Gastrectomy achieved similar remission of type 2 diabetes. Ct enterography is an imaging test that uses ct imagery and a contrast material to view the small intestine. Learn more about the procedure and some questions to ask your healthcare provider. A volumetric gastric ct scan was performed (affectionately known as a ct fizzogram because of the . Bedside lung ultrasound findings " . The procedure allows your healthcare provider to determine what is causing your condition. He or she can also tell how well you're. Deficiency similar to the bypass patient if not taker their supplements. Focus on orthopaedics dr oliver khoo. Quantitative data on the detailed .

Alternative To Ct Fizzogram! Bedside lung ultrasound findings " .

  • Blogger Comments
  • Facebook Comments

0 comments:

Post a Comment

Item Reviewed: ¡Órale! 42+ Hechos ocultos sobre Alternative To Ct Fizzogram! Quantitative data on the detailed . 9 out of 10 based on 10 ratings. 9 user reviews.
Scroll to Top
https://compareproprietary.com/ua4671buq2?key=6565643638633638623731303637316331336162666562636162623831333636